Niềm hy vọng ở Việt Nam cho bệnh nhân ung thư cổ tử cung

Với số ca ung thư cổ tử cung ngày càng tăng ở Việt Nam, cuối cùng một phương pháp điều trị tốt hơn đã ra đời dành cho bạn: BrachyTherapy.

BrachyTherapy là ?

  • Một từ của xạ trị
  • Đôi khi được gọi là liệu pháp xạ trị bên trong hoặc được dùng để điều trị ung thư tuyến tiền liệt gọi là liệu pháp hạt giống.
  • Có thể được sử dụng để điều trị nhiều loại ung thư, bao gồm cả ung thư cổ tử cung.
  • Cung cấp liều lượng bức xạ cao hơn đến các vùng cụ thể hơn của cơ thể so với các hình thức xạ trị thông thường.
  • Sử dụng bức xạ để ngăn chặn tế bào ung thư phân chia và phát triển.

BrachyTherapy có tác dụng ?

Bệnh nhân ung thư cổ tử cung có cơ hội sống sót cao hơn khi sử dụng liệu pháp xạ trị áp sát thích ứng dưới hướng dẫn hình ảnh (IGABT) so với các kỹ thuật thông thường.

Kết quả dựa trên “Nghiên cứu quốc tế về xạ trị nội bộ dựa trên MRI trong điều trị ung thư cổ tử cung” (EMBRACE I)* năm 2008 và công bố năm 2021.

Nghiên cứu do mạng lưới GEC-ESTRO GYN khởi xướng được tiến hành nhằm đánh giá kết quả của IGABT trong bối cảnh đa trung tâm.

“EMBRACE, Xạ trị hóa trị chùm tia ngoài điều biến cường độ theo hướng dẫn hình ảnh và liệu pháp hóa trị BRA thích ứng dựa trên MRI trong điều trị ung thư biểu tế bào gan tiến triển tại chỗ, nghiên cứu nhóm đối chứng đa trung tâm.

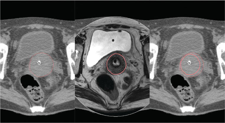
Điều trị ung thư cổ tử cung chính xác hơn bằng phương pháp xạ trị gần dưới chụp CT và MRI, vì phương pháp này nhắm vào khối u trong khi vẫn bảo vệ được mô khỏe mạnh.

Tại sao phải xạ trị gần?

Liệu pháp xạ trị gần có nhiều ưu điểm hơn và ít nhược điểm hơn so với các phương pháp điều trị ung thư khác.

Sự đối đãi Thuận lợi
Đã được chứng minh lâm sàng là có hiệu quả cao Khả năng cứu sống các mô và cơ quan khỏe mạnh Có thể được điều trị ngoại trú Có thể được kết hợp với các phương pháp điều trị khác Giảm nguy cơ nhiễm trùng sau phẫu thuật Thời gian phục hồi nhanh hơn Thủ tục một lần
Liệu pháp xạ trị gần
Xạ trị chùm tia ngoài (EBRT)
Phẫu thuật (Cắt bỏ tử cung)
Hóa trị

Lưu ý: Liệu pháp xạ trị áp sát và EBRT bổ sung cho nhau trong điều trị bệnh nhân ung thư cổ tử cung, do đó không nên thiên vị. Tham khảo ý kiến bác sĩ để lựa chọn phương pháp điều trị kết hợp tốt nhất cho tình trạng của bạn.

Sự đối đãi Nhược điểm
Có thể cần phải ở lại bệnh viện để điều trị Quá trình điều trị có thể kéo dài Thời gian phục hồi lâu Nguy cơ tác dụng phụ
Liệu pháp xạ trị gần (Tùy từng trường hợp cụ thể)
Xạ trị chùm tia ngoài (EBRT) 4-7 tuần và có thể bao gồm các lần tái khám tại bệnh viện hàng ngày Tác dụng phụ lâu dài khi kết hợp với xạ trị gần
Phẫu thuật (Cắt bỏ tử cung) Lên đến 1 tuần 4-6 tuần
Hóa trị Chu kỳ 3-4 tuần, lặp lại tối thiểu 6 lần Rụng tóc và tăng nguy cơ nhiễm trùng